A székrekedés nem gyakori, mivel a tulajdonosok ütköznek, de az állandó székrekedésben szenvedő macskák számára ez számos problémát okozhat. A tulajdonosoknak gyakran meg kell ismerniük a dolgokat, hogy elkerüljék a kórházi ápolás szükségességét.
A könnyű székrekedés kezelhető, különösen olyan macskákban, amelyek még mindig jól táplálkoznak és isznak, otthon hashajtókkal, feltéve, hogy a kezelés a kezdetektől kezdődik. A tulajdonosokat azonban nem szabad elcsábítani a székrekedés diagnosztizálására a macskájukban, mivel ehhez állatorvosi belépést igényel.
Hogyan tudjuk kezelni az alkotmányos macskákat?
A székrekedés ritka vagy hiányzik a széklethez kapcsolódó székletből, amely a vastagbélben és a végbélben zajlik. A cél az, hogy megakadályozzuk, hogy ez megtörténjen, ezért szeretnénk biztosítani, hogy a szokásos székek napi legalább egyszer menjenek.
én és a szerelem és te macskaeledel vélemények
Azok, akik a székrekedés tárgyát képezik, általában jobban működnek egy gazdag rostos étrenden, amely lehetővé teszi a jó nedvességtartalmat és megakadályozza a széket. A tulajdonosok növelhetik a vizet azáltal, hogy hozzáadják a vizet étkezéshez és a macska forrásának felhasználásával.
A súly vagy az inaktív jelenléte lelassíthatja a bélet, ami székrekedést is okozhat. Szeretnénk megtalálni a 9 -től a 9 -től 5 -ig terjedő testállapotot, és ösztönöznünk kell macskáinkat, hogy szükség esetén interaktív játékokkal, játékokkal és kültéri idővel mozogjanak.
A bőrgolyóknak kiszolgáltatott macskák számára naponta legalább egyszer szeretnénk főzni őket, egy jó kefével lyukként. Használhatunk egy bőr tésztát golyóval is, hogy megakadályozzuk a blokkokat.
Macalan lehetőségek a biztonságos macskákhoz
Az állatorvos leírhatja azokat a hashajtókat, amelyeket a tulajdonosok otthon használhatnak, különösen az állandó vagy krónikus szilárd székekkel folytatott macskáknál.
Kaphat néhány olyan macskát, amelynek súlyos orvosi problémái vannak, például a keskeny medencecsatornát az előző sokk, hosszú távú hashajtó miatt.
A macskánk barátai számára sok biztonságos lehetőség van:
1. katalaxis
A Katalax mappa az egyik macskám, amely a frizura és a lágy székrekedés tárgyát képezi. Nagyon finom, és a macskák hajlamosak a lábuktól főzni őket, hogy támogassák őket. A paraffinolaj rövidít a bélben, amely elősegíti a bőrt a székletbe történő továbbításában.
2. Laksaton
Ez egy hasonló termék, amely elérhető az Amazon -ban -tól S ennek a mappának az igazi jellemzője, hogy a tonhal íze, tehát ritkán utasítják el. Ez egy biztonságos hajgömb tészta, amely szintén alkalmas macskák számára.
3. MeColax
A Micolax egy kis csőben kapható, amelyet beillesztenek a végbélnyílásba, hogy otthon egy kis anális injekciós társaság legyen. 5 ml -től 10 ml -ig (egy csőből kettőre) adunk, és a nátrium -nátriumot általában fél órán át székletbe fordítjuk.
4. A múlt
A latulóz olcsó és könnyen kínálható. Szállítható a macska szájába, ami túlzott hashajtó, ami azt jelenti, hogy vonzza a vizet a bélbe. Az adag szükség esetén 8-12 óránként 0,5 mg/kg. Mivel az eredmények azonnali lehetnek, tanácsos egy macskát adni a tartályban vagy a kukába.
Hogyan lehet biztonságos hashajtót használni a macskájával
A megfelelő dózis és gyakoriság a betegtől és az igényeiktől függ. Sok hashajtó megadása hasmenés, gyengeség, só és kiszáradás cukorlruálása okozhat. Másrészt, az alacsony vagy ritka adag azt jelentheti, hogy a terméknek nincs hatása.
Az állatorvosok általában egy kezdeti adagot, adaptációt javasolnak, attól függően, hogy a macska hogyan és hogyan.
Sok akut székrekedésű macskának csak egy -két napig csak naponta többször lesz szükségük. A krónikus székrekedésben szenvedőknek azonban napi adagra lehet szükségük.
Keressen állatorvosi segítséget a macska tartásához
Nem normális, ha a macskát elfogják; Ezért, ha észreveszi, hogy a macskája törekszik, vagy a cső nagyon nehéznek tűnik, vagy kis mennyiségeket költ, ideje kapcsolatba lépni az állatorvossal.
Meg kell határoznunk a macska okát a székrekedés kialakulásához, és ellenőriznünk kell, hogy vannak -e Meg -Megolon blokkjai vagy jelölései (magas szintű bél).
Óvatosan láttam, hogy sok tulajdonos székrekedés céljából belép a macskába, hogy vannak a napokban, csak hogy tudjam, hogy van egy hólyagblokk, amely veszélyezteti életüket és törekvésüket, mert nem tudnak vizeletet fogyasztani.
Mi várható egy állatorvosi látogatás során
Állatorvosod kéri a macskájának történetét és a teljes fizikai vizsgálatot. A végbélnyílásokat a paradicsom vagy az összeszerelt széklet vonatkozásában, valamint a tömegteszt vagy székrekedés bélének érzése alapján kell megvizsgálni. A hidratációs szintjét szintén értékelni fogjuk.
Egyes esetekben az állatorvos képeket készíthet egy akadály vagy Megolon bizonyítékának ellenőrzésére.
perzsa macskák ára
Melyek a székrekedés okai a macskákban?
A macskákban a székrekedések széles skálája van, de nézzük meg a leggyakoribb borokat:
1. A macskák válhatnak Szárított Amikor rossz, különösen krónikus betegségekben, például Vese károsodás. A bélben a páratartalom hiánya széklethez és problémákhoz vezethet a múlt székkel. A szárított macskáknak száraz, ragadós és hosszú bőr kéme lesz. Meg kell próbálnunk javítani a nedvességet nedves ételek és égi oldatok kiszolgálásával. Bizonyos esetekben a macskák részesülnek a bőr alatti folyadékokból vagy a negyedikből.

2. Viselkedés Az S macskák olyan lényeket igényelnek, amelyek könnyen kiemelhetők, és ennek a nyomásnak számos hatása van. Egy új rutin, egy új homoktálca vagy egy új otthoni macska megtagadhatja a széklet és a székrekedés átmenését. A tulajdonosok megpróbálhatják elkerülni ezt azáltal, hogy biztosítják, hogy otthon 1,5 macska tálca és ez a tálca csendes területeken található. A rutinot meg kell őrizni, és egyes macskák részesülnek a szorongáscsökkentő termékekből, például a relaxációból és a táplálkozási kiegészítőkből. A folyamatos viselkedési problémák esetén tanácsos kérni a macska viselkedésének véleményét.

3. Ezt általában macskákban, különösen az időskorban tartják fenn. Az ízületi gyulladás vagy anális problémák széklet és fejlődési nehézségekhez vezethetnek. A legfontosabb itt a fájdalom azonosítása és kezelése. Ez olyan gyógyszereket jelenthet, mint a fájdalom és a gyógyszerek. Alapvető alacsony ajkak ajkakat kell használni, amelyeket könnyen el lehet terjeszteni rájuk.

corgi vörös gyógyító keverék
4. A vastagbél tényezői. Az utat megakadályozó medencékben vagy asztalokban először állandó székrekedéshez vezethet. Időbe telik ezeknek a problémáknak a diagnosztizálása, és olyan képeket is tartalmazhat, mint a radiológia és a hasi gyűjtemény. Ha egy macska már részt vesz egy autóban és/vagy medencei szünetben, a tulajdonosoknak székrekedést kell keresniük. Egyes macskáknak napi kombinációkra lesz szükségük.

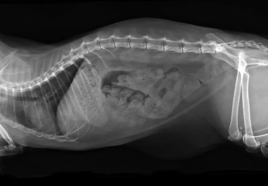
Ez a fenti radiográfia komoly székrekedést mutat
Ismételt kérdések
Használhatok humán hashajtókat a macskámhoz?
Számos hashajtót használunk macskákhoz (például letulóz), az emberek számára is. Soha nem szabad bemutatnunk őket, hacsak nem egy állatorvos felügyelete alatt állnak.
Milyen potenciális mellékhatásai vannak a macska -hashajtóknak?
A hashajtók a széklet több vizet tesznek, ami hasmenést és kiszáradást okozhat, ha sokat használnak, vagy nem megfelelő módon használják.
Mennyi ideig tart a macskákkal való együttműködés?
Ez egy hashajtótól függ, de a legtöbb egy óra múlva nagyon gyorsan működik. A széklet költségeit azonban egy vagy annál többet is igénybe vehet.
Esetek:
https://www.vin.com/apputil/content/defaultadv1.aspx?id=5124225&pid=11343&print=1














